Salud
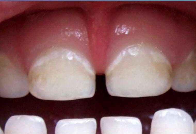
Manchas en los dientes: ¿Una señal de caries?
Normalmente, los dientes de los niños son de color blanco cuando comienzan a salir; pero, con el paso del tiempo, el tono va alterándose.
Normalmente, los dientes de los niños son de color blanco cuando comienzan a salir; pero, con el paso del tiempo, el tono va alterándose. Si bien el color en algunos casos no es súper blanco, no tienen por qué estar manchados.
¿Por qué aparecen manchas en los dientes?, ¿son señales de caries? El odontopediatra Adjas Roper visitó la casa de Buen Día, este miércoles, para explicarnos (ver video adjunto).
Puede contactar a Roper por medio de las redes sociales @dr.adjasroper (Instagram) y 'Dr. Adjas-San Roper Odontopediatra' (Facebook), o también al teléfono 7013-6678.


