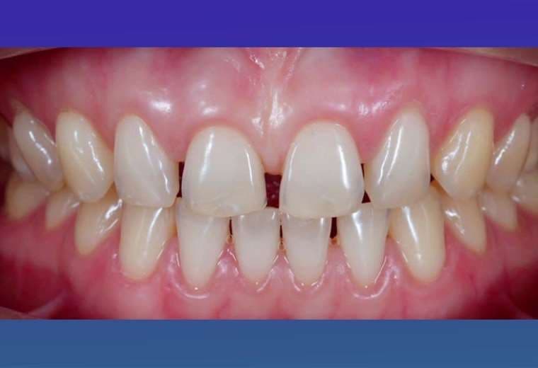
El espacio entre los dientes frontales se llama diastema y hoy le contamos cómo corregirlo
En ocasiones, estos espacios son tan grandes que llegan a ser no solo un problema estético, sino también una condición que genera mucha incomodidad para quienes la padecen.
Un diastema es el espacio que existe entre dos o más dientes; generalmente se presenta en las piezas frontales, aunque también puede ocurrir en otros dientes, y una de sus principales causas es la genética.
En ocasiones, estos espacios son tan grandes que no solo llegan a convertirse en un problema estético, sino que también pueden generar mucha incomodidad para quienes lo padecen.
Ante la conversación sobre los diastemas surgen muchas preguntas: ¿es posible corregirlo? ¿Es cierto que cuando uno tiene esta condición tiene una menor probabilidad de desarrollar caries?
Para atender todas estas dudas, el odontólogo Luis Ulett visitó la casa de Buen Día para ampliar más detalles en el video adjunto a esta nota.
Puede contactar al especialista al número: 2551-3414 o al 8844-6603 o bien, puede encontarlo en sus redes sociales como: @dr_luis_ulett.

