Joven peruano vivió casi un mes con cuchillo de 10 centímetros clavado en su espalda
Tras conocer el caso, los médicos no salían del asombro.
*Imágenes e información de Latina, Alianza Informativa Latinoamericana.
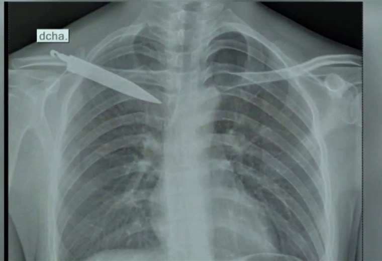
Médicos peruanos se llevaron una gran sorpresa al encontrar un objeto punzocortante, de más de 10 centímetros de largo, incrustado en la espalda de un joven de 28 años; pero mayor fue el asombro al enterarse de que el objeto había estado alojado en su cuerpo por casi un mes (ver video adjunto).
Gerson Tarazona indicó que hace un mes fue víctima de un asalto a mano armada, cuando regresaba a su casa, en la ciudad de Huánuco, centro norte del país. Al intentar defenderse, los delincuentes le clavaron un cuchillo por la espalda, herida por la cual tuvo que ir de emergencia al hospital.
Sin embargo, a pesar de las medicinas que le habían recetado, el dolor se mantenía. Durante casi cuatro semanas, este joven tuvo que tolerar insoportables dolores en la espalda, hasta que decidió ir nuevamente a un centro médico.
“Sí, sentía dolor. No podía caminar ni pararme, estaba con ampollas. No podía mover el brazo para arriba”, contó la víctima.
En el hospital de Pangoa, y tras una evaluación, se ordenó que Tarazona pasará por Rayos x, llevándose así la sorpresa: había un cuchillo en su espalda.
El paciente tuvo que ser intervenido inmediatamente, una operación que resultó ser exitosa y con la cual lograron salvarle la vida. Si bien el caso causó indignación, tanto el afectado como su familia dijeron que no tomarán acciones legales.


