Estilo de Vida
¿Sabía usted que su boca alberga millones de bacterias?
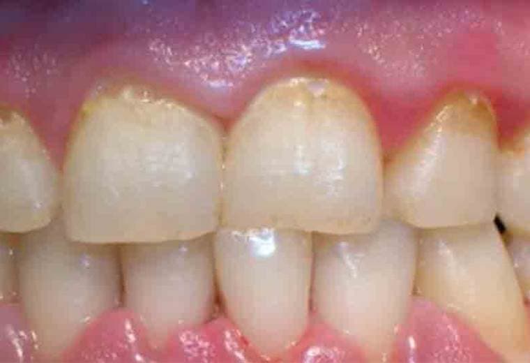
La placa puede provocar sarro, caries y enfermar nuestras encías.
¿Sabía usted que su boca alberga millones de bacterias?
No se asuste. Eso es algo completamente normal, pero hay un porcentaje de esas bacterias que se encarga de producir lo que conocemos como placa bacteriana, uno de los grandes enemigos de la salud dental.
La placa puede provocar sarro, caries y enfermar nuestras encías.
De ahí la importancia de conocer cómo se forma y cómo podemos eliminarla.
Para ello nos acompaña el odontólogo Jerry Muñoz.
Al odontólogo general Jerry Muñoz lo puede localizar en los teléfonos 2519-9616 y 2262-9800.

