Salud
Cómo evitar complicaciones de las cordales
¿A qué edad deberían extraerse las cordales? ¿Qué es lo mejor para evitar complicaciones?
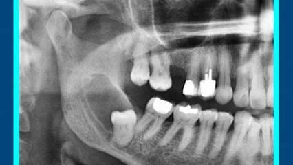
Las famosas cordales, o como las conocen algunos, muelas del juicio, son el motivo de molestia para muchos porque están asociadas a dolor de cabeza, inflamación y hasta desacomodo dental.
¿A qué edad deberían extraerse las cordales? ¿Qué es lo mejor para evitar complicaciones?
Para responder estas y otras preguntas, hoy nos acompañó el cirujano maxilofacial Daniel Rodríguez.
Puede contactarlo al 8834-8845

