Erosión dental, ¿qué es y cómo tratarla?
Si su rutina incluye el consumo diario de bebidas gaseosas o si su debilidad es añadir limón a todas sus comidas, es momento de prestar atención a su salud dental.
Si su rutina incluye el consumo diario de bebidas gaseosas o si su debilidad es añadir limón a todas sus comidas, es momento de prestar atención a su salud dental.
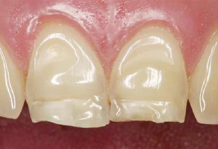
Tal y como le explicamos en el video que aparece en la portada de esta nota, estos hábitos aparentemente inofensivos podrían estar provocando erosión dental, un desgaste del esmalte que, en casos extremos, puede llevar a la pérdida de dientes.
Para hablar sobre este tema, hoy conversamos con el odontólogo Luis Ulett, quien explicó cómo identificar esta condición y las alternativas disponibles para corregirla.
Para obtener más información, puede contactar al odontólogo Ulett a través de WhatsApp, al número 6087-7777 o llamarlo al teléfono 2551-3414. Además puede encontrarlo en Instagram: @dr_luis_ulett.


