Buen día
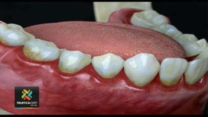
¿Por qué razón sangran las encías?
En ningún caso el sangrado en las encías es considerado normal. Es más, un descuido podría complicar esta condición.
El sangrado en las encías es algo que le ocurre con frecuencia a muchas personas. Normalmente se presenta durante el cepillado o al momento de comer.
Si usted ha pasado por lo mismo, expertos recomiendan que por ningún motivo debe dejar pasar por alto este síntoma.
En ningún caso el sangrado en las encías es considerado normal. Es más, un descuido podría complicar esta condición.
La odontóloga Gabriela Castro explica cuáles son las causas más frecuentes por las que sangran las encías.
Si desea contactarla puede hacerlo a los números: 2282-9878 o al 6354-0000.

