Buen día
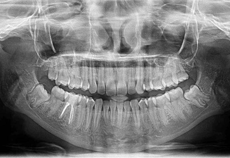
¿Cuándo se deben extraer las cordales o muelas del juicio?
El cirujano maxilofacial Érick Rivera, estuvo en Buen Día para respondernos varias dudas del tema
No a todas las personas les salen las famosas cordales o muelas del juicio, pero en caso de que sí, surgen muchas preguntas como por ejemplo si será necesario extraerlas.
También, ¿podríamos enfrentar complicaciones de salud?
El cirujano maxilofacial Érick Rivera, estuvo en Buen Día para respondernos estas dudas.
Para contactarlo puede llamar al: 8727-9444 o al 2101-0739.


