Salud
Conozca los diferentes tratamientos de encías
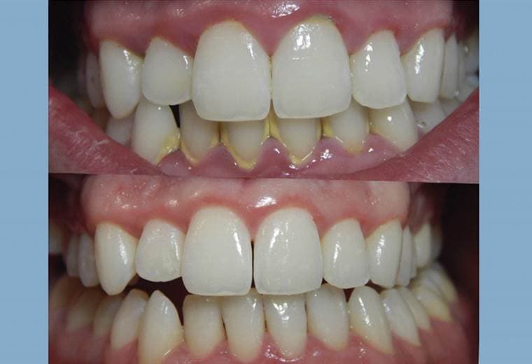
La odontóloga Laura Segura Pochet nos acompañó en Buen Día para hablar sobre algunos tratamientos que ayudarán a mejorar sus encías
Cuando una encía no está saludable, comienza a perder su color rosado, puede presentar sangrado y en ocasiones comienza a retraerse dejando ver la raíz de los dientes.
Por eso, cuidar sus encías no se trata solo de un aspecto estético, también puede ayudarle a evitar enfermedades en esa zona.
La odontóloga Laura Segura Pochet nos acompañó en Buen Día para hablar sobre algunos tratamientos que ayudarán a mejorar sus encías.
Si desea más información puede llamar al teléfono 88413235 o al 8337-7652. Vea todos los detalles en el vídeo adjunto.


