Buen día
Conozca las consecuencias de perder una pieza dental
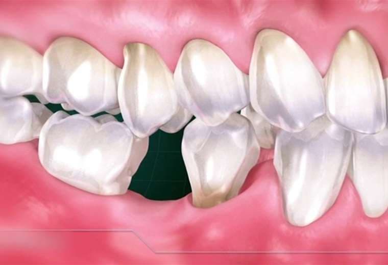
La pérdida de piezas dentales genera, además de problemas para masticar, otra serie de incomodidades que afectan la calidad de vida.
La pérdida de piezas dentales genera, además de problemas para masticar, otra serie de incomodidades que afectan la calidad de vida.
En el video adjunto enumeramos algunas consecuencias asociadas al faltante de algún diente para que, si ya se los cuida, refuerce aún más esos cuidados.
