Intersticio, el "nuevo órgano" del cuerpo humano que la ciencia acaba de descubrir
Un grupo de investigadores descubrió una estructura de la anatomía humana desconocida hasta ahora. Acá le contamos los detalles.

Solo la tecnología más avanzada le acaba de permitir a los científicos ver algo que siempre estuvo ahí: un espacio intersticial "no identificado" hasta ahora, lleno de cavidades de líquido, presente dentro y entre los tejidos de nuestro cuerpo. Un un grupo de expertos lo califica como un nuevo órgano.
Quienes lo descubrieron lo definen como "una nueva expansión y especificación del concepto del intersticio humano", algo que tradicionalmente en biología se refería al espacio entre las células y los tejidos del organismo.
Paradójicamente "el intersticio" se podría convertir en uno de los órganos más grandes, junto a la piel: los científicos estiman que esta red de cavidades de colágeno y elastina rellenas de líquido aglutinaría más de un quinto de todo el fluido de nuestro organismo.
Lo identificó un equipo de patólogos de la Escuela de Medicina de la universidad NYU, de Estados Unidos, que acaba de publicar sus resultados en la revista Scientific Reports.
Los expertos concluyeron que estas capas intersticiales de nuestro organismo, que antes se creían formadas por un tejido conectivo denso y sólido, están en realidad interconectadas entre sí, a través de compartimentos llenos de líquido.
Estos tejidos están debajo de la piel, recubren el tubo digestivo, los pulmones y el sistema urinario y rodean las arterias, venas y la fascia, una estructura de tejido conectivo que se extiende por todo el cuerpo.
Los investigadores creen que esta "estructura anatómica" puede ser importante para explicar la metástasis del cáncer, el edema, la fibrosis y el funcionamiento mecánico de muchos o todos los tejidos y órganos de nuestro cuerpo.
¿Cómo no lo habían visto hasta ahora?
Con los métodos estándares de visualización de la anatomía humana no se perciben estas estructuras.
Los científicos pudieron identificar este nuevo "órgano" gracias a los avances tecnológicos de la endomicroscopia en vivo, que muestra en tiempo real la histología y estructura de los tejidos.
Pero el hallazgo fue una sorpresa.
Según detallan en su estudio, el equipo de investigadores hizo en 2015 una operación para la que utilizaron una endomicroscopia con láser, una tecnología llamada Confocal Laser Endomicroscopy (pCLE), para examinar el conducto biliar de un paciente afectado por el cáncer.
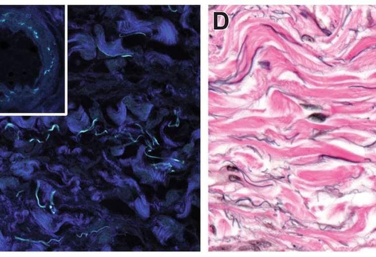
Y tras una inyección de una sustancia colorante llamada fluoresceína vieron "un patrón reticular con senos (huecos) llenos de fluoresceína que no tenían ninguna correlación anatómica".
Pero cuando quisieron examinarlos en las placas microscópicas de la biopsia habitual habían desaparecido.
Después de hacer varias pruebas, Neil Theise, coautor senior del estudio, se dio cuenta de que el proceso convencional de fijación de muestras de tejidos en placas drenaba el fluido de la estructura.
Normalmente los científicos tratan las muestras con químicos, las cortan en una capa muy fina y les aplican tinte para hacer resaltar las características clave.
El equipo de Theise descubrió que ese drenaje de fluido hace que la red de compartimentos antes rellenos de líquido se colapse, como los pisos de un edificio, y por eso "durante décadas ha aparecido como algo sólido en las placas de biopsia", dijo Theise, del departamento de Patología de NYU Langone Health.
Cambiando la técnica de hacer la biopsia su equipo logró preservar la anatomía "en vivo" de la estructura, "demostrando que forma parte de la submucosa y que es un espacio intersticial lleno de fluido no apreciado con anterioridad".
Así, se observan "bandas anchas y oscuras ramificadas rodeadas de espacios grandes y poligonales rellenos de fluoresceína", describen en su informe.
Para este estudio los científicos confirmaron la existencia de esas estructuras en otros 12 pacientes operados.
¿Cual es su función?
Según los investigadores, hasta ahora la ciencia no ha estudiado bien ni el flujo ni el volumen del fluido intersticial del cuerpo humano.
La identificación de este "espacio intersticial" alimenta varias hipótesis.
Los expertos creen que esta red de espacios interconectados, fuerte y elástica, puede actuar como un amortiguador para evitar que los tejidos de nuestro cuerpo se rasguen con el funcionamiento diario, que hace que los órganos, músculos y vasos sanguíneos se contraigan y se expandan constantemente.
Además, creen que esta red de cavidades es como una autopista para los fluidos en movimiento. Y eso podría justificar la idea de que cuando un cáncer alcanza al espacio intersticial se puede expandir por el cuerpo muy rápidamente, en lo que se conoce como metástasis.
Por otro lado Los autores creen que las células que forman el intersticio cambian con la edad, y pueden contribuir al arrugamiento de la piel y al endurecimiento de las extremidades, así como a la progresión de enfermedades fibróticas, escleroides e inflamatorias.
Ahora puedes recibir notificaciones de BBC Mundo. Descarga la nueva versión de nuestra app y actívalas para no perderte nuestro mejor contenido.
